How to Remove Yellow Stains from Teeth?

A bright, white smile can significantly boost your confidence. But what happens when yellow stains start to dull your pearly whites? If you’re looking for effective ways to remove those unsightly stains, you’ve come to the right place. As your trusted cosmetic dentist in Scottsdale, we’re here to guide you through the process and help you achieve a radiant smile you’ll love.
Understanding the Causes Behind Yellow Stains
Before diving into solutions, it’s essential to understand what causes yellow stains in the first place. Several factors can contribute to discoloration:
- Food and Drinks: Coffee, tea, red wine, and dark sodas are notorious for staining teeth.
- Tobacco Use: Smoking or chewing tobacco leaves behind stubborn yellow and brown stains.
- Aging: As we age, the outer layer of enamel wears down, revealing the yellowish dentin underneath.
- Poor Oral Hygiene: Inadequate brushing and flossing allow plaque and tartar buildup, which can trap stains.
- Certain Medications: Some medications, including certain antibiotics, can cause tooth discoloration.
- Genetics: Some people are simply more prone to yellowing teeth than others.
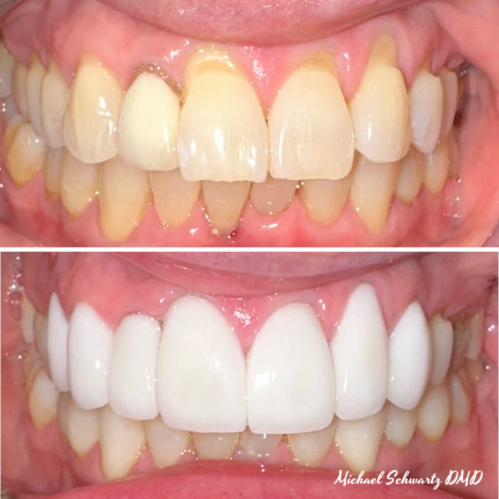
Practical Solutions for a Brighter Smile
Fortunately, several ways exist to remove yellow stains and restore your smile’s brilliance. As your dentist in Scottsdale, we offer a range of solutions tailored to your individual needs.
- Professional Teeth Whitening:
- This is one of the most effective ways to remove stains and achieve a noticeably brighter smile.
- Dental Bonding:
- This procedure involves applying a tooth-colored resin to the surface of your teeth, which can cover stains and other imperfections.
- Porcelain Veneers:
- For severe stains or other cosmetic issues, veneers offer a long-lasting solution.
- These thin, custom-made shells are bonded to the front of your teeth, creating a flawless smile.
- Regular Dental Cleanings:
- Professional cleanings remove plaque and tartar buildup, which can contribute to staining.
- Regular cleanings are essential for maintaining a healthy and bright smile.
- Improved Oral Hygiene Practices:
- Brushing twice daily with fluoride toothpaste and flossing daily can help prevent stains from forming.
- Rinsing your mouth after consuming staining foods or drinks can also help.

Why Choose a Cosmetic Dentist in Scottsdale?
When it comes to enhancing your smile, it’s crucial to choose a qualified and experienced cosmetic dentist in Scottsdale. We understand that every smile is unique, and we’ll work with you to develop a personalized treatment plan that meets your specific goals. As your dentist in Scottsdale, we can provide you with the best options.
Say goodbye to yellow teeth!
Struggling with yellow teeth? We have solutions. From at-home tips to professional whitening, we can help you achieve a brighter smile. Excellent oral hygiene is key, and for the best teeth whitening services in Scottsdale, visit Pinnacle Peak Dentistry and let our experts restore your confident smile.


